When is It Required? 
Since aligners and braces serve similar purposes, they are used in the same situations. The major difference between the two is that braces are visible whereas most of the aligners are invisible. Here are a few reasons why you might require aligners –
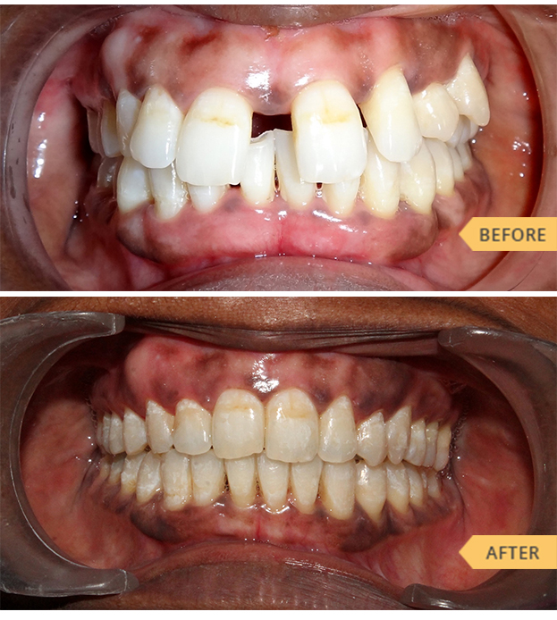
- Crowding of teeth which has eventually caused poor hygiene as well as cavities.
- Proclined teeth with slight displacement in the chin
- Crooked teeth which are causing other dental issues such as cavity, bad breath and much more.
- And lastly, correction of the bite without any surgery or invasive method.
Even though using aligners is tough and requires a lot of precautions as well as regular care, we advise that if you face or are facing any of such symptoms, contact our dental specialists right away for an accurate diagnosis and to get back the smile you deserve.
There are many reasons why your teeth may not be aligned or positioned properly as of now. But if left unattended, these incorrect positions and alignment can cause serious issues in the future, e.g. –
- Poor oral hygiene because of the crowded teeth alignment which can further cause cavities.
- Badly affected chewing efficiency because of improper bite.
- Calculus deposits and eventual yellowing of teeth.
- Bleeding gums, tooth mobility and Halitosis are caused because of crooked teeth.
- Irregular spacing between teeth can also lead to speech problems.
There is no end to the number of dental problems which will be caused if the alignment of your teeth is not perfect and the positioning remains uncomfortable. This is why we at DentCraft advise the use and application of braces to correct the issues at the earliest.
