Dentcraft was established with a vision to perform and deliver the best dental treatments available in the world, while creating a luxury dental experience, like non-other.
We take pride in having set together an array of world class dental technologies, the most carefully selected advanced dental materials, an atmosphere to ease off from the moment you walk in, an elite group of dental surgeons and a support staff team that goes beyond and above in creating not just a painless, but also the most comforting dental experience ever.
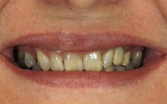
The smile we spread, is contagious. From that nervous twitch to the beaming radiant smile - we are there to support you at every step of the way. You can have a look at some of the many smiles we are responsible for.
Nothing better to watch and live a transformation through our patient’s side. Check out how Dentcraft was able to spread the contagious confident smile to hundreds of individuals like you and what they feel today!
We have helped transform several lives, changing nervous expressions to confident and vibrant smiles. Check out what our patients have to say about us and their experience at Dentcraft.

The entire Dentcraft team is phenomenal, they are so friendly and compassionate, right from the front desk person my experience was professional and smooth. Dr. Aditi is punctual and so nice in her ways, she first understood my issue and explained everything in detail which gave me a lot of confidence.
Defense wife
After prolonged dental suffering, I finally found an experienced dentist who is empathetic in Dr. Aditi. She explains the situation so well that I could trust her completely with my problem and most importantly my treatment was pain-free. She treated so gently and patiently. Infact the entire staff is polite and gave attention to all my requests. Thank you dentcraft team.
Model

Like most people, I have always feared dentists. I have had dental work done before and my experience has never been as pain-free, satisfying and comfortable as it has been at Dentcraft. They are extremely professional and their technology is commendable. It took us only 2 sittings for the entirety of my treatment which involved deep gum cleanings, multiple fillings and veneers. I dont think I fear dentists anymore, so well..Thank you Dentcraft.
Model

I have had crooked teeth since childhood, I had been seeking help for smile designing but the thought of extensive dental work always kept me from it.A friend recommended Dentcraft to me and I can not stop thanking him for it. They are so tender and comforting in their ways that it felt like a cakewalk. I can not explain what a difference it has made to my life. All I can say is Thank you Dentcraft and Dr. Aditi for my new Smile, I love it.
Lawyer
At Dentcraft Dental Clinic, we are known for excellence and for striving for perfection in every treatment or service we provide. Here are some of the awards and accolades collected over the time by our team of internationally acclaimed dental experts.
Dr. Aditi Sarin, Director, Dentcraft Multispeciality Dental Clinics received the prestigious Bitein National Award for exceptional Work in her field in 2017...read more
Dentcraft Multi Speciality Dental Clinic is ISO 9001:2015 certified. ISO 9001 is a quality system certification that ensures a guarantee... read more
Mr. Venkaiah Naidu, Vice Preisent of India presented the prestigious RGUHS Gold Medal to Dr. Aditi Sarin for excelling and securing the highest marks...read more